陰道微生態是由正常陰道解剖結構、周期性內分泌變化、陰道局部免疫係統、陰道各種菌群等四大部分組成。
近(jin)年(nian)來(lai)陰(yin)道(dao)微(wei)生(sheng)態(tai)檢(jian)測(ce)已(yi)經(jing)逐(zhu)步(bu)代(dai)替(ti)陰(yin)道(dao)常(chang)規(gui),成(cheng)為(wei)臨(lin)床(chuang)判(pan)斷(duan)陰(yin)道(dao)炎(yan)症(zheng)及(ji)陰(yin)道(dao)菌(jun)群(qun)失(shi)衡(heng)的(de)重(zhong)要(yao)檢(jian)測(ce)手(shou)段(duan)。陰(yin)道(dao)微(wei)生(sheng)態(tai)檢(jian)測(ce),一(yi)般(ban)包(bao)括(kuo)形(xing)態(tai)學(xue)評(ping)價(jia)及(ji)功(gong)能(neng)學(xue)檢(jian)測(ce)。下(xia)麵(mian)就(jiu)陰(yin)道(dao)微(wei)生(sheng)態(tai)檢(jian)測(ce)中(zhong)一(yi)些(xie)常(chang)見(jian)問(wen)題(ti)做(zuo)一(yi)些(xie)初(chu)步(bu)探(tan)討(tao)。
乳杆菌究竟產不產過氧化氫?
常見的乳杆菌是產過氧化氫的,如卷曲乳杆菌、詹氏乳杆菌、惰性乳杆菌、格式乳杆菌和嗜酸乳杆菌等[1]。henduorenrenweiruguoruganjunbuchanguoyanghuaqing,zetishigongnengjiangdi,danshijishangyeyouhenduobuchanguoyanghuaqingderuganjun。womensuozaideyiyuanyongdeshiguoneimoupinpaideyindaofenmiwuganhuaxueshijika,據 2024 年 1~5 月份統計到的 2254 份陰道微生態標本顯示,產過氧化氫率隻有 12.3%,這一數據和廠家的統計數據基本相同,與我們調查到的其它廠家的產過氧化氫率也十分接近。
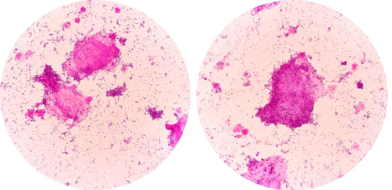
經過長時間觀察,我們發現隻有特別粗大的杆菌的乳杆菌產過氧化氫(圖 1)(疑似卷曲乳杆菌,可以做 NGS 進行明確)。所以說不產過氧化氫並不一定是乳杆菌功能減低,也有可能是不產過氧化氫的乳杆菌。

圖 1. 產過氧化氫的乳酸杆菌(疑似卷曲乳杆菌)
由加德納菌引起的細菌性陰道炎(BV)一定產唾液酸苷酶嗎?
加(jia)德(de)納(na)菌(jun)和(he)普(pu)雷(lei)沃(wo)菌(jun)屬(shu)於(yu)共(gong)生(sheng)菌(jun),二(er)者(zhe)共(gong)同(tong)產(chan)生(sheng)了(le)唾(tuo)液(ye)酸(suan)苷(gan)酶(mei),可(ke)以(yi)促(cu)進(jin)了(le)陰(yin)道(dao)上(shang)皮(pi)黏(nian)膜(mo)層(ceng)的(de)降(jiang)解(jie),使(shi)陰(yin)道(dao)處(chu)於(yu)易(yi)感(gan)狀(zhuang)態(tai),因(yin)此(ci)唾(tuo)液(ye)酸(suan)苷(gan)酶(mei)(SNA)對於因加德納菌引起的 BV,是一個重要的陽性指標。那麼加德納菌引起的 BV,唾液酸苷酶就一定是陽性嗎?
根據我們的觀察,大部分加德納菌引起的 BV,唾液酸苷酶是陽性,但是也有少部分加德納菌引起的 BV,唾液酸苷酶是陰性的。即便是加德納菌足夠多,足夠旺盛,SNA 依然陰性,原因可能與加德納菌種類有關係。已有研究報道,並不是所有的加德納菌株都產唾液酸苷酶,有些加德納菌株缺乏唾液酸苷酶的活性[2]。buchantuoyesuanganmeidejiadenajunyoukenengchuyuxiangduijiaodidehuoxingzhuangtai,duiyindaoweishengtaiyingxiangjiaoxiao,zaixingtaishang,buchantuoyesuanganmeidejiadenajunmeiyoutebiedebianshidu。
線索細胞一定是黏附了革蘭氏陰性小杆菌的毛糙不平的鱗狀上皮細胞嗎?
線索細胞曾經作為診斷 BV[3]的必要條件,顯得尤為重要,新的診斷方法雖然線索細胞已經不是必要條件,但是線索細胞依舊在臨床醫生那裏亮眼。
線索細胞是指陰道鱗狀上皮細胞粘附了大量的加德納菌及其它短小陰性杆菌而形成的細胞團,細胞表麵毛糙,有斑點和大量細小顆粒[3](圖 2)。那麼如果鱗狀上皮細胞黏附菌是陽性球菌,表麵也會毛糙不平,未染色時,與線索細胞相似度極高,這類細胞是不是線索細胞呢?
其實革蘭氏染色後就會原形畢露,這種黏附革蘭陽性球菌的鱗狀上皮細胞,雖然形態相似,但它不是引起 BV 的主要細菌,個人認為這類細胞並不能稱為線索細胞。

圖 2. 線索細胞
真菌感染時一定產 N-乙酰基-B-氨基半乳糖苷酶(NAG)嗎?
感染人陰道的的常見的 5 種念珠菌分別是白色念珠菌、近平滑念珠菌、光滑念珠菌、熱帶念珠菌及季爾蒙念珠菌,隻有白色念珠菌和近平滑念珠菌 NAG 是陽性(圖 3)。
白色念珠菌和近平滑念珠菌在念珠菌性陰道炎中占 80% 以上,所以大部分念珠菌感染時 NAG 為陽性,當感染菌為其它三種念珠菌菌時 NAG 為陰性。

圖 3. 產 NAG 酶的念珠菌
陰道分泌物鏡檢隻發現真菌孢子,未查見菌絲,報告是否要提示?
在最新的《陰道分泌物臨床檢驗與結果報告規範化指南》[5] 裏麵提到:念珠菌感染時,如果沒有菌絲,要在結果裏麵提示,因為有無菌絲涉及到臨床用藥。
在臨床檢測中常遇到的沒有菌絲的念珠菌,主要是光滑念珠菌,形態為典型小孢子,可以看到出芽,但是沒有菌絲(圖 4)。由於光滑念珠菌對佛康唑天然耐藥,所以隻發現真菌孢子時需要在報告中提示,有助於臨床合理用藥。

圖 4. 沒有菌絲,隻有小孢子及出芽孢子的光滑念珠菌
如何判定需氧性陰道炎(AV)?
目前國際上較為公認的 AV 診斷方法是 Donders 評分 ≥ 3 分,同時患者存在相關的臨床症狀。但是 Donders 評分並不能區分陰道裏麵的優勢菌是否為外來菌(需氧菌),這導致 Donders 評分容易過高,尤其是在菌群失調情況下,大量陰道定值厭氧球菌繁殖,乳杆菌缺如,所以高分不一定是 AV,AV 的判定除了高分,更需要明顯的臨床症狀和高白細胞數量(圖 5)。

圖 5. 陽性球菌導致的高白細胞 AV
當微生態完全正常,白細胞卻異常增多時,如何提示臨床?
在臨床實踐中,經常能看到這樣的標本,微生態菌群正常,除了乳杆菌,看不到任何雜菌,但是白細胞滿視野(如圖 6),這種情況如何解釋?聽部分研究微生態的老師講過,這種情況有可能是生理性增多,如孕晚期的孕婦,在沒有任何臨床症狀、微生態正常的情況下,可以出現白細胞增多。
實際操作中我們可以把菌群完全正常,單純白細胞增多的病人分成兩種情況:
1)無任何臨床症狀者,考慮生理性增多,不建議臨床治療處理。
2)有明顯臨床症狀者,建議生殖道病原體核酸聯檢,以除外衣原體與支原體等不典型病原體感染。

圖 6. 微生態正常,白細胞異常增多的標本
怎樣診斷細胞溶解性陰道炎 (CV)?
CV 是一個排除性診斷,必須結合臨床症狀。CV 的診斷條件:1)大量上皮細胞溶解破碎(如圖 7),有的形成所謂的假線索細胞;2)pH ≤ 3.8 ;3)陰道周期性瘙癢,月經前黃體期加重,月經開始後,由於 pH 值升高,症狀緩解。外陰可見大量酸性分泌物刺激後形成的澤痕,有時有水腫和紅斑[4]。CV 診斷要做到臨床症狀和實驗室指標的綜合判斷。
CV 在臨床症狀上與真菌性陰道炎近似,但是 CV 有周期性,而且易發生在婦女月經周期的排卵期和黃體期,在妊娠期比例也偏高,可能與這些時期婦女體內雌、孕激素水平升高有關係。有研究表明,產酸能力更強的卷曲乳杆菌更易導致 CV 的發生。

圖 7. CV 時破碎的鱗狀上皮細胞
加德納菌究竟是陽性菌還是陰性菌?
其實幼齡狀態的加德納菌是偏向陽性的小球杆,而成齡的更傾向陰性杆菌,在一個標本中既有幼齡的也有成齡的,表現為陰陽不定,排列比較紊亂,大多數樣本是這樣的。但是有少數樣本加德納菌可以出現全部為陰性杆菌的情況(如圖 8)。

圖 8. 革蘭氏陰性的加德納菌
真菌和滴蟲可以共存嗎?
工作中,經常可以看到念珠菌性陰道炎和滴蟲性陰道炎同時存在的情況,之所以有人會產生二者能否共存的疑問,原因在於滴蟲最適 pH 值 5.5~6.0,而念珠菌的最適生長 pH 值是 3.8~4.5,兩者 pH 值範圍沒有交叉,但是實際既有滿視野的乳杆菌,pH 值 4.1,滴蟲和黴菌共存的情況;也有陽性球菌滿視野,pH 值 5.4,滴蟲和念珠菌共存的情況。
原因就在於滴蟲和念珠菌的 pH 值範圍都是最適範圍,而不是絕對生存範圍,什麼都有特殊,就有一部分滴蟲和念珠菌能在「惡劣」環境下茁壯成長(如圖 9)。

陰道微生態破環後,容易感染非典型病原體嗎?
當陰道正常微生態被破環後,很容易導致解脲支原體、沙眼衣原體、HPV 病毒等非典型病原體感染。
我們統計了本院 2023 年 6 月份到 2024 年 5 月份的 105 例解脲支原體陽性育齡女性陰道微生態分析數據,有 58.1% 是非正常的炎症狀態,其中包括 30.5% 的念珠菌性陰道炎(VVC),15.2% 的 BV,5.7% 的滴蟲性陰道炎(TV),5.8% 的混合型,還有 0.9% 的 AV,剩下的 41.9% 雖(sui)然(ran)微(wei)生(sheng)態(tai)菌(jun)群(qun)正(zheng)常(chang),但(dan)是(shi)白(bai)細(xi)胞(bao)明(ming)顯(xian)增(zeng)多(duo),提(ti)示(shi)陰(yin)道(dao)微(wei)環(huan)境(jing)處(chu)於(yu)炎(yan)性(xing)狀(zhuang)態(tai)。實(shi)際(ji)上(shang)微(wei)生(sheng)態(tai)正(zheng)常(chang)菌(jun)群(qun)破(po)壞(huai)後(hou),陰(yin)道(dao)粘(zhan)膜(mo)的(de)保(bao)護(hu)作(zuo)用(yong)就(jiu)沒(mei)有(you)了(le),這(zhe)時(shi)的(de)病(bing)原(yuan)微(wei)生(sheng)物(wu)容(rong)易(yi)侵(qin)入(ru)繁(fan)殖(zhi)。
結語:
yishangshiyindaoweishengtaizaishijigongzuozhongjingchangpengdaodeyixiewenti,bufenwentixianzaiyeneihaimeiyoutongyidegongshi,benwendejiedushijiyuyigechangqiweishengtaigongzuozhedejingyanjilei,kenengcunzaixuduopianmiandedifang。danshiwulunshinayigexuekedejinbu,doushiyigetansuo,shijianyinzheng,dedaojielundeguocheng。gongzuozhongyudaowenti,zhiyoutongguogezhongshouduanbuduandequjiejuewanshan,cainenggoutuidongyindaoweishengtaililundebuduanjinbu。
來源:丁香園檢驗時間
聯係人:賀勁鬆
手 機:
郵 箱:
公 司:長沙協大生物科技有限公司
地 址:湖南長沙經濟技術開發區人民東路二段169號佰羊大廈