1、什麼是“線索細胞”?
在講線索細胞前先來簡單了解下白帶,白帶是由陰道黏膜滲出物、宮頸腺體分泌物及子宮內膜腺體分泌物混合而成,內含陰道上皮脫落細胞、白細胞、乳酸杆菌。它的形成與雌激素水平息息相關。
白帶中的菌群分布:
1
革蘭陽性需氧菌和兼性厭氧菌:乳杆菌、棒狀杆菌、非溶血性鏈球菌及表皮葡萄球菌;
2
革蘭陰性需氧菌和兼性厭氧菌:加德納菌(有時因變異呈革蘭陽性),大腸埃希菌及摩根菌;;
3
專性厭氧菌:消化球菌、消化鏈球菌、類杆菌等;
4
其他:支原體、假絲酵母菌等。
線索細胞 (clue cell) = 鱗狀上皮細胞 + 加德納菌和其他厭氧菌
線索細胞:線xian索suo細xi胞bao是shi指zhi細xi菌jun性xing陰yin道dao炎yan患huan者zhe有you許xu多duo杆gan菌jun凝ning聚ju在zai陰yin道dao上shang皮pi細xi胞bao邊bian緣yuan,在zai懸xuan滴di塗tu片pian中zhong見jian到dao陰yin道dao上shang皮pi細xi胞bao邊bian緣yuan呈cheng顆ke粒li狀zhuang或huo點dian畫hua狀zhuang致zhi使shi模mo糊hu不bu清qing者zhe即ji為wei線xian索suo細xi胞bao,它ta是shi細xi菌jun性xing陰yin道dao病bing的de最zui敏min感gan最zui特te異yi的de體ti征zheng,臨lin床chuang醫yi生sheng根gen據ju胺an試shi驗yan陽yang性xing及ji有you線xian索suo細xi胞bao即ji可ke做zuo出chu細xi菌jun性xing陰yin道dao病bing的de診zhen斷duan。線xian索suo細xi胞bao就jiu是shi陰yin道dao鱗lin狀zhuang上shang皮pi細xi胞bao上shang黏nian附fu大da量liang加jia德de納na菌jun及ji其qi他ta厭yan氧yang菌jun,像xiang線xian索suo狀zhuang排pai布bu。
在陰道分泌物中發現線索細胞是診斷細菌性陰道病的重要指標之一。
2、線索細胞的臨床意義
細菌性陰道病(bacterial vaginosis,BV)是以陰道內正常產生過氧化氫的乳杆菌減少或消失,而以兼性厭氧菌及厭氧菌增多為主導致的陰道感染。常見的病原體包括兼性厭氧菌(陰道加德納菌)、厭氧菌(普雷沃菌、動彎杆菌、擬杆菌、陰道阿托普菌)以及解脲脲原體、人型支原體等。
BV診斷的臨床“金標準” —— Amsel標準
1、陰道分泌物灰白色、均質、糜狀;
2、陰道分泌物pH值>4.5;
3、胺試驗陽性;
4、線索細胞數量>20%的陰道上皮細胞總量(必要條件)
上述4項臨床特征中至少3項陽性(線索細胞陽性為必備條件)即診斷 BV。其診斷敏感度為60%~72%,特異度為90%~94%。
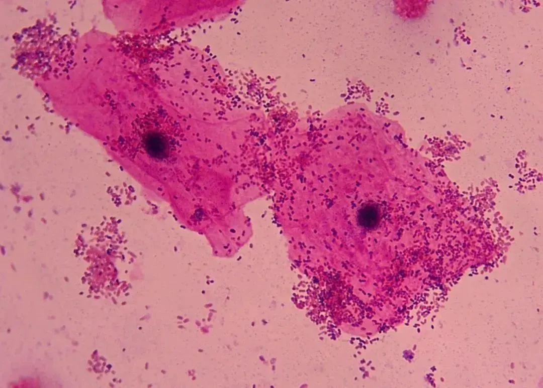
3、線索細胞的形態
線(xian)索(suo)細(xi)胞(bao)的(de)濕(shi)片(pian)背(bei)景(jing)像(xiang)撒(sa)了(le)一(yi)層(ceng)細(xi)沙(sha),邊(bian)緣(yuan)像(xiang)葉(ye)子(zi)被(bei)蟲(chong)子(zi)啃(ken)咬(yao)後(hou)破(po)破(po)爛(lan)爛(lan)。細(xi)胞(bao)邊(bian)緣(yuan)呈(cheng)鋸(ju)齒(chi)狀(zhuang),表(biao)麵(mian)黏(nian)附(fu)大(da)量(liang)加(jia)德(de)納(na)菌(jun)及(ji)其(qi)他(ta)短(duan)杆(gan)菌(jun),呈(cheng)線(xian)索(suo)狀(zhuang)排(pai)布(bu)。細(xi)胞(bao)核(he)模(mo)糊(hu)不(bu)清(qing),細(xi)胞(bao)可(ke)見(jian)溶(rong)解(jie)。背(bei)景(jing)可(ke)見(jian)大(da)量(liang)呈(cheng)細(xi)小(xiao)顆(ke)粒(li)的(de)加(jia)德(de)納(na)菌(jun)和(he)其(qi)他(ta)厭(yan)氧(yang)菌(jun)

▲圖1 線索細胞(鹽水濕片法)

▲圖2 線索細胞(革蘭氏染色法)
鹽水濕片法由於細胞間顏色差異較小,在複雜背景下特異性低,對線索細胞的識別率不高。
革蘭氏染色法由於陰道加德納菌本身的特點以及染色質片過程出現的問題,從而可能顯示為陰陽不定的顏色,從而導致誤判。
因此,目前的形態學鏡檢對於線索細胞的識別均存在局限性。
4、熒光染色法下線索細胞的形態
熒光法染色後線索細胞呈現:正常呈綠色熒光的鱗狀上皮細胞表麵粘附大量加德納菌和杆菌。


▲圖3 線索細胞(熒光染色法)
聯係人:賀勁鬆
手 機:
郵 箱:
公 司:長沙協大生物科技有限公司
地 址:湖南長沙經濟技術開發區人民東路二段169號佰羊大廈